Skip to content Skip to sidebar Skip to footer

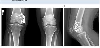
Medial Femoral Condyle, Spect Ct Delineation Of Patellar And Femorotibial Overload After Knee Arthroplasty - Please see our knee injury protocol for additional information on this topic.

Medial Femoral Condyle, Spect Ct Delineation Of Patellar And Femorotibial Overload After Knee Arthroplasty - Please see our knee injury protocol for additional information on this topic.. An articular cartilage injury, or chondral injury, may occur as a result of a pivot or twist on a bent knee, similar to the motion that can cause a meniscus tear. Osteonecrosis of the medial femoral condyle presents as a sudden onset of pain on the medial side of the knee. Osteonecrosis of the medial femoral condyle can be treated in a variety of ways depending on the stage of the disease. The femoral condyle allograft has been used for resurfacing cartilage defects with mature hyaline cartilage for several decades, with very high success rates. Your knee mri will often show a:

Methods sixteen knees with a small medial femoral. The femoral condyle is a thickened area of the femur just above the knee. What is an articular cartilage defect and how is it treated? The femur (thighbone), the tibia, (shin), and the patella (kneecap). Generally, ocd seems to affect males more commonly than females (between 2:1 and 3:1).

Figure 3 From Impingement Between Medial Plica Against Femoral Condyle Osteophyte After High Tibial Osteotomy Semantic Scholar
Figure 3 From Impingement Between Medial Plica Against Femoral Condyle Osteophyte After High Tibial Osteotomy Semantic Scholar from d3i71xaburhd42.cloudfront.net
Lateral aspect of medial femoral condyle most common location. The motions of the condyles include rocking, gliding and rotating. In the knee, chondromalacia is usually related to injury, overuse of the knee, and poorly aligned muscles and bones around the knee joint. Methods sixteen knees with a small medial femoral. When ocd affects the knee, the most common location is within the lateral aspect of the medial femoral condyle. Medial condyle of femur from wikipedia, the free encyclopedia the medial condyle is one of the two projections on the lower extremity of femur, the other being the lateral condyle. The femoral condyle allograft has been used for resurfacing cartilage defects with mature hyaline cartilage for several decades, with very high success rates. The medial femoral condyle is supplied by a plexus of vessels from the descending genicular artery and the medial superior genicular artery.

One presumed mechanism of injury is a stieda fracture (avulsion injury of the medial collateral ligament at the medial femoral condyle).

They are called the medial and the lateral femoral condyle, respectively. An imbalance of the muscles around the knee (some muscles are weaker than others.) overuse (repeated bending or twisting) of the knee joint, especially during sports. However, two of the patients had one or more fractures missed when they first presented. The medial femoral condyles are the bony protrusions on the inside edge of the bottom of the femur bone in each thigh. Osteochondritis dissecans (ocd) is an acquired, reversible, idiopathic lesion. Osteonecrosis of the medial femoral condyle presents as a sudden onset of pain on the medial side of the knee. This is associated with a positive bone scan and, frequently, a radiolucent lesion in the subchondral zone. Methods sixteen knees with a small medial femoral. The medial condyle is larger than the lateral (outer) condyle due to more weight bearing caused by the centre of mass being medial to the knee. Medial condyle of femur from wikipedia, the free encyclopedia the medial condyle is one of the two projections on the lower extremity of femur, the other being the lateral condyle. Root tear (radial tear) of the medial meniscus mild or moderate knee arthritis Osteonecrosis of the medial femoral condyle can be treated in a variety of ways depending on the stage of the disease. Of the six patients who had suffered an isolated fracture of their medial condyle, four of the patients had their fractures diagnosed on the first visit.

Any abnormal surface structure or cartilage damage can lead to cartilage breakdown and arthritis (loss of cartilage padding). If there is a fracture (break) in part of the condyle, this is known as a fracture of the femoral condyle. Please see our knee injury protocol for additional information on this topic. The flap is marked by identifying the vascular plexus on the medial condyle and incorporating a component of the network in the flap. They are called the medial and the lateral femoral condyle, respectively.

1
1 from
The radiographs demonstrated abnormal contour of the medial femoral condyle, consistent with an osteochondral defect, and a fabella posterior to the knee. Methods sixteen knees with a small medial femoral. It acts to support a significant amount of the patient's body weight. An imbalance of the muscles around the knee (some muscles are weaker than others.) overuse (repeated bending or twisting) of the knee joint, especially during sports. If there is a fracture (break) in part of the condyle, this is known as a fracture of the femoral condyle. The medial femoral condyle is supplied by a plexus of vessels from the descending genicular artery and the medial superior genicular artery. Damage may also be the result of a direct blow to the knee. Palpable to either side of the knee joint when it is bent, they are known specifically as the medial and lateral femoral condyles.

According to the hospital for special surgery, the medial femoral condyle is the inside of the knee, and health issues dealing with it can be treated.

An articular cartilage injury, or chondral injury, may occur as a result of a pivot or twist on a bent knee, similar to the motion that can cause a meniscus tear. An imbalance of the muscles around the knee (some muscles are weaker than others.) overuse (repeated bending or twisting) of the knee joint, especially during sports. Juvenile ocd lesions have a better healing prognosis than adults. Osteonecrosis of the medial femoral condyle presents as a sudden onset of pain on the medial side of the knee. The radiographs demonstrated abnormal contour of the medial femoral condyle, consistent with an osteochondral defect, and a fabella posterior to the knee. Please see our knee injury protocol for additional information on this topic. Chondral injuries may accompany an injury to a ligament, such as the anterior cruciate ligament. Medial condyle of femur from wikipedia, the free encyclopedia the medial condyle is one of the two projections on the lower extremity of femur, the other being the lateral condyle. In the knee, chondromalacia is usually related to injury, overuse of the knee, and poorly aligned muscles and bones around the knee joint. The motions of the condyles include rocking, gliding and rotating. One presumed mechanism of injury is a stieda fracture (avulsion injury of the medial collateral ligament at the medial femoral condyle). Generally, ocd seems to affect males more commonly than females (between 2:1 and 3:1). According to the hospital for special surgery, the medial femoral condyle is the inside of the knee, and health issues dealing with it can be treated.

A bone fracture at this location is termed a femoral condyle fracture. Tendons and ligaments attach your kneecap to your shinbone and thigh. What is an articular cartilage defect and how is it treated? This is associated with a positive bone scan and, frequently, a radiolucent lesion in the subchondral zone. Damage may also be the result of a direct blow to the knee.

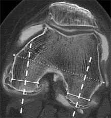
Knee Biomechanics Recon Orthobullets
Knee Biomechanics Recon Orthobullets from upload.orthobullets.com
The motions of the condyles include rocking, gliding and rotating. An articular cartilage injury, or chondral injury, may occur as a result of a pivot or twist on a bent knee, similar to the motion that can cause a meniscus tear. Of the six patients who had suffered an isolated fracture of their medial condyle, four of the patients had their fractures diagnosed on the first visit. Palpable as a hard, rounded bump to the inside of either knee joint, they are one of two condyles at the bottom of each leg bone, the other being the lateral femoral condyle. However, two of the patients had one or more fractures missed when they first presented. According to the hospital for special surgery, the medial femoral condyle is the inside of the knee, and health issues dealing with it can be treated. An imbalance of the muscles around the knee (some muscles are weaker than others.) overuse (repeated bending or twisting) of the knee joint, especially during sports. Palpable to either side of the knee joint when it is bent, they are known specifically as the medial and lateral femoral condyles.

Methods sixteen knees with a small medial femoral.

The medial femoral condyle is supplied by a plexus of vessels from the descending genicular artery and the medial superior genicular artery. Medial condyle of femur from wikipedia, the free encyclopedia the medial condyle is one of the two projections on the lower extremity of femur, the other being the lateral condyle. This is associated with a positive bone scan and, frequently, a radiolucent lesion in the subchondral zone. Osteonecrosis of the medial femoral condyle presents as a sudden onset of pain on the medial side of the knee. Three bones meet within the knee joint: Cartilage can be focally damaged, producing a pot hole in the joint surface, when the knee ligaments are injured. Versatility of the medial femoral condyle flap for extremity reconstruction and identification of risk factors for nonunion, delayed time to union, and complications. Juvenile ocd lesions have a better healing prognosis than adults. The medial condyle is named for its location on the inside of the knee, closer to the midline of the body, while the lateral condyle is found on the outside of the knee, away from the midline of the body. One presumed mechanism of injury is a stieda fracture (avulsion injury of the medial collateral ligament at the medial femoral condyle). Methods sixteen knees with a small medial femoral. The motions of the condyles include rocking, gliding and rotating. Based on the patient's antalgic gait and radiographic findings, the patient was instructed on the proper use of crutches and referred to an orthopaedic surgeon for appropriate management.